Our Blog

Search
Keywords: tooth proportions, golden proportion dentistry, aesthetic prosthodontics, smile design, dental aesthetics, cosmetic dentistry, width-to-length ratio, dental harmony Abstract This comprehensive article explores the critical...
1. Article Structure & Content Framework 1. Title & Meta Information 2. Abstract/Executive Summary Full mouth rehabilitation represents one of the most complex challenges in...
Introduction Wear resistance remains one of the most significant determinants of the clinical longevity of dental restorative materials. As composite materials continue to expand their...
Keywords: TMJ disorders, disc displacement with reduction, disc displacement without reduction, temporomandibular joint dysfunction, jaw clicking, jaw locking, TMJ treatment, occlusal splints Abstract This article...
SEO Keywords: orofacial pain treatment, jaw muscle spasm, TMJ disorders, dental pain management, facial pain diagnosis Executive Summary This comprehensive article examines the complex relationship...
Keywords: digital implant planning, surgical guides, digital dentistry, implant positioning, guided surgery, Exoplan, CBCT, intraoral scanning Abstract This comprehensive guide explores the transformative impact of...
1. Core Technologies Behind Smart Glasses in Dentistry Understanding the technological foundations of smart glasses is essential for appreciating their impact on dental practices. Key...
Keywords: patient-centered dentistry, aesthetic prosthodontics, cosmetic dental planning, smile design, digital smile planning, dental aesthetics Abstract This comprehensive article explores the evolving landscape of patient-centered...
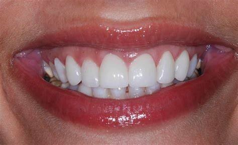
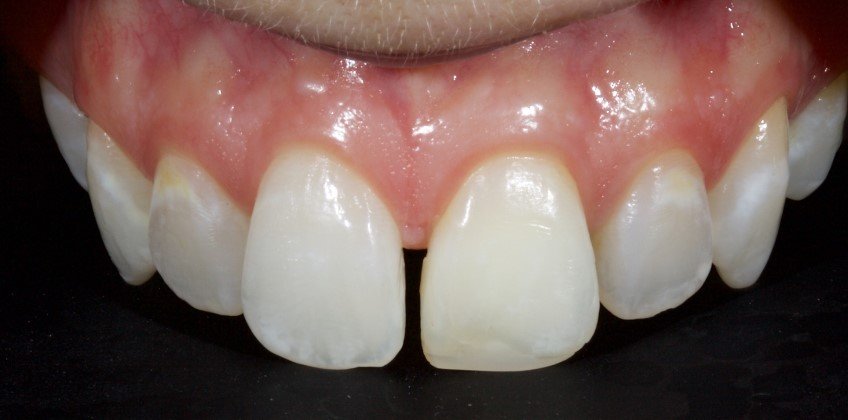
Subtitle: Advanced Digital Techniques and Material Selection for Predictable Cosmetic Outcomes Keywords: midline diastema, aesthetic restorations, cosmetic prosthodontics, direct composite, porcelain veneers, digital smile design,...