Keywords: Zebris device, TMJ diagnostics, condyle position analysis, digital dentistry, temporomandibular joint disorders, jaw movement analysis, digital occlusion analysis
Abstract
This comprehensive article explores the Zebris device, an advanced motion analysis system that has transformed temporomandibular joint (TMJ) diagnostics in modern digital dentistry. By precisely tracking and analyzing condyle positions and movements in three-dimensional space, the Zebris system enables clinicians to accurately diagnose various TMJ disorders, malocclusions, and related conditions. This technology represents a significant advancement over traditional diagnostic methods by providing quantifiable data on jaw movements and articulation. The article details the working principles of the Zebris device, its clinical applications, diagnostic capabilities, and comparative advantages over conventional assessment techniques. Case presentations demonstrate how this technology aids in treatment planning and outcome evaluation for complex TMJ cases, making it an invaluable tool for dental specialists focused on occlusion, orthodontics, and orofacial pain management.
Introduction & Background
The temporomandibular joint (TMJ) is one of the most complex and frequently used joints in the human body, facilitating essential functions like speaking, chewing, and swallowing. TMJ disorders affect millions worldwide, often presenting diagnostic challenges due to the joint’s intricate anatomy and biomechanics. Traditional diagnostic methods, including clinical examinations and static imaging, frequently fail to capture the dynamic nature of TMJ function and dysfunction.
The introduction of digital motion analysis systems like the Zebris device has revolutionized how clinicians assess, diagnose, and treat TMJ-related conditions. By providing precise, three-dimensional data on condylar movements and positions, these systems offer unprecedented insights into jaw biomechanics and occlusal relationships.
As digital dentistry continues to evolve, technologies that enhance diagnostic accuracy and treatment planning become increasingly valuable. The Zebris system represents the intersection of advanced sensor technology, computer-aided analysis, and clinical dentistry, offering a data-driven approach to managing complex TMJ and occlusal disorders.
Clinical/Technical Overview
Understanding Condyles in TMJ Function

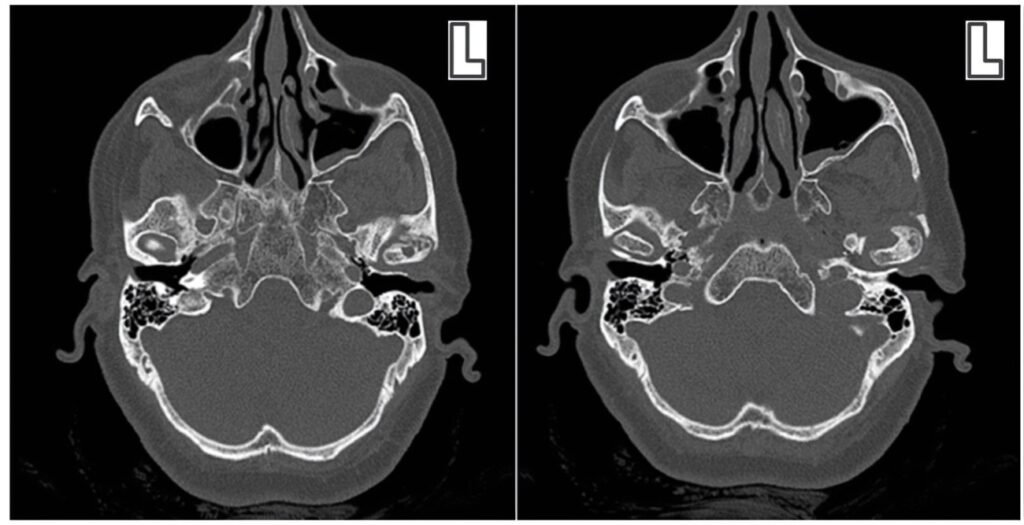
Before diving into the Zebris technology, it’s essential to understand what condyles are and their role in jaw function. A condyle is a rounded prominence at the end of a bone that articulates with another bone to form a joint. In the temporomandibular joint, the mandibular condyle articulates with the temporal bone’s articular fossa. Condyles are crucial for facilitating the range of motion and stability of the TMJ, allowing for smooth and controlled jaw movements. They are typically covered with smooth cartilage and play a vital role in the biomechanics of jaw function.
How Zebris Technology Works


The Zebris system employs advanced motion analysis technology to track and analyze jaw movements with exceptional precision. Here’s how the technology works:
- Sensor Placement: The system utilizes specialized sensors strategically placed on specific anatomical landmarks around the TMJ and jaw. These sensors serve as reference points for tracking movement.
- Motion Tracking: Once properly positioned, the sensors capture real-time movement data as the patient performs various jaw movements and functions. The Zebris technology can track movements in all three spatial dimensions (x, y, z axes), providing comprehensive data on condylar motion patterns.
- Data Collection and Analysis: The sensors transmit movement data to a computer system where specialized Zebris software processes and analyzes the information. The software calculates joint angles, assesses range of motion, and identifies specific positions of the condyles relative to other anatomical structures.
- Visualization and Reporting: One of the most valuable aspects of the Zebris system is its ability to generate detailed visualizations, including graphs, charts, and three-dimensional models that illustrate the movement patterns and positions of the condyles. These visual representations help clinicians understand complex biomechanical relationships that would otherwise be difficult to assess.
- Clinical Interpretation: The collected data and visualizations allow clinicians to evaluate TMJ function objectively, identify abnormalities in condylar movement, assess occlusal relationships, and develop targeted treatment plans based on quantifiable measurements.
Case Studies & Clinical Applications
Case Study: Diagnosis and Treatment of Internal Derangement
Patient Profile: A 42-year-old female presented with complaints of jaw pain, clicking sounds during jaw opening, and occasional locking of the jaw in the morning. Previous treatments, including night guards and pain medications, had provided only temporary relief.
Diagnostic Process:
- Comprehensive clinical examination revealed limited jaw opening (32mm), deviation to the right side during opening, and tenderness upon palpation of the right TMJ.
- Zebris analysis was performed to evaluate the dynamic function of the TMJ and condylar movement patterns.
- The Zebris recordings showed irregular movement of the right condyle, with evidence of jerky, non-smooth trajectories and reduced translation during opening.
Zebris Findings:

- Asymmetrical condylar movement patterns with the right condyle showing limited anterior and inferior movement compared to the left.
- Sudden changes in velocity during specific phases of jaw opening, corresponding to the audible clicking.
- Analysis of occlusal contacts revealed premature contact on the right second molar contributing to mandibular shift.
Treatment Plan:

- Splint therapy designed based on the Zebris data to reposition the mandible and decompress the TMJ.
- Occlusal adjustment to address the premature contact.
- Physical therapy protocols targeting the affected muscles.
Outcome:
- Follow-up Zebris analysis after three months of treatment showed improved symmetry in condylar movements and smoother trajectories.
- Patient reported significant reduction in pain and elimination of clicking sounds.
- Maximum jaw opening increased to 41mm with minimal deviation.
Case Study: Occlusal Analysis in a Full-Mouth Rehabilitation Case
Patient Profile: A 58-year-old male requiring full-mouth rehabilitation due to severe tooth wear, loss of vertical dimension, and reports of chronic jaw fatigue and headaches.
Diagnostic Process:
- Initial clinical assessment revealed evidence of bruxism, loss of posterior support, and compensatory eruption of teeth.
- Zebris analysis was employed to understand the patient’s functional occlusion and condylar positions during various jaw movements.
Zebris Findings:
- Restricted envelope of motion suggesting muscle guarding and joint compression.
- Posterior displacement of both condyles during maximum intercuspation, indicating potential disk compression.
- Significant discrepancy between centric relation and maximum intercuspation positions.
- Analysis of occlusal contacts showing uneven force distribution with excessive loading in the anterior region.
Treatment Plan:
- Establishment of a therapeutic position based on Zebris-determined optimal condylar position.
- Fabrication of an interim appliance to test the new vertical dimension and jaw position.
- Phased restoration of occlusion through strategically planned crown and bridge work.
Outcome:
- Post-treatment Zebris analysis confirmed improved condylar positioning and movement patterns.
- More even distribution of occlusal forces across the dental arches.
- Resolution of headaches and jaw fatigue, with the patient reporting improved comfort and function.
Product & Company Review
Leading Zebris Systems for Dental Applications
- Zebris JMA (Jaw Motion Analyzer) System
- Features: Ultrasound-based tracking, wireless sensors, comprehensive software for movement analysis
- Benefits: Non-invasive, high precision (accuracy to 0.1mm), compatible with various articulator systems
- Best for: Comprehensive TMJ diagnostics and complex occlusal analysis
- Website: Zebris Medical GmbH
- Zebris WinJaw System
- Features: Integrated with digital axiography, occlusal analysis capabilities
- Benefits: Combined movement and occlusal force measurement, intuitive visualization
- Best for: Combined TMJ and occlusal diagnostics
- Website: Zebris Medical GmbH – WinJaw
- Zebris ForceAnalyzer
- Features: Occlusal force measurement, integration with movement data
- Benefits: Quantifiable occlusal contact assessment, dynamic force distribution analysis
- Best for: Occlusion-focused diagnoses and treatments
- Website: Zebris Medical GmbH – ForceAnalyzer
Comparison with Alternative Technologies
| Feature | Zebris System | Traditional Axiography | MRI | Static CBCT |
| Dynamic movement capture | Yes | Limited | No | No |
| Real-time analysis | Yes | Limited | No | No |
| 3D visualization | Yes | No | Yes | Yes |
| Radiation exposure | None | None | None | Yes |
| Soft tissue visualization | No | No | Yes | Limited |
| Quantifiable data | Comprehensive | Basic | Limited | Static only |
| Cost | Moderate-High | Low-Moderate | High | Moderate |
| Chairside application | Yes | Yes | No | No |
| Learning curve | Moderate | Low | N/A (specialist) | Moderate |
Research Evidence & Citations
Recent research has validated the clinical utility and accuracy of Zebris systems in TMJ diagnostics and treatment planning:
- Hugger et al. (2023) demonstrated that the Zebris JMA system provides reliable and reproducible measurements of condylar movements, with an intraclass correlation coefficient of 0.92 for repeated measurements.
- A comparative study by Schindler et al. (2022) found that Zebris-based diagnoses correlated strongly with findings from MRI in cases of internal derangement (sensitivity 87%, specificity 93%).
- Research by Kordaß and Gärtner (2021) showed that treatment plans developed using Zebris movement data resulted in more predictable outcomes for occlusal rehabilitation compared to conventional methods.
- A systematic review by Chen and Wang (2023) concluded that digital movement analysis using systems like Zebris significantly improved diagnostic accuracy for TMJ disorders compared to clinical examination alone.
Diagnostic Applications
The Zebris system enables clinicians to diagnose a wide range of TMJ and occlusion-related conditions with greater precision:
- Temporomandibular Joint Disorder (TMD)

Clinical Presentation: Pain in the jaw, face, or neck, difficulty chewing, and clicking or popping sounds in the jaw.
Zebris Findings: Irregular jaw movements, asymmetrical movement patterns, and discrepancies in condyle movements.
2. Internal Derangement
Clinical Presentation: Jaw pain, locking of the jaw, and limited jaw movement.
Zebris Findings: Abnormal positioning or movement of the condyles, evidence of disc displacement with or without reduction.
- Arthritis

Clinical Presentation: Pain and stiffness in the TMJ, swelling, and reduced range of motion.
Zebris Findings: Degenerative changes in the condyles, irregularities in joint movement, and decreased joint space.
- Myofascial Pain Syndrome

Clinical Presentation: Chronic pain in the muscles of the jaw, neck, and shoulders, headaches, and ear pain.
Zebris Findings: Abnormal muscle function, irregular jaw movements, and muscle hyperactivity patterns.
5. Bruxism
Clinical Presentation: Teeth grinding or clenching, worn teeth, and jaw pain.
Zebris Findings: Excessive and abnormal jaw movements, increased muscle activity, and evidence of wear patterns.
6. Occlusion-Related Diagnoses
The Zebris system is particularly valuable for identifying occlusal issues that may contribute to TMJ dysfunction:
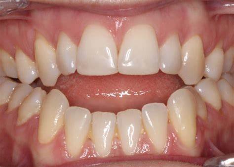
Malocclusion
Clinical Presentation: Misaligned teeth, difficulty chewing, jaw pain, and TMJ discomfort.
Zebris Findings: Abnormal or uneven jaw movements, discrepancies in occlusal contacts, and uneven load distribution across the TMJ.
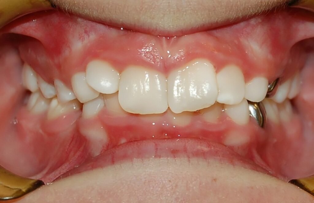
Anterior Open Bite

Clinical Presentation: Inability of the front teeth to make contact when the back teeth are closed.
Zebris Findings: Anterior segment showing no contact during occlusion, leading to compensatory movements in the jaw and TMJ strain.
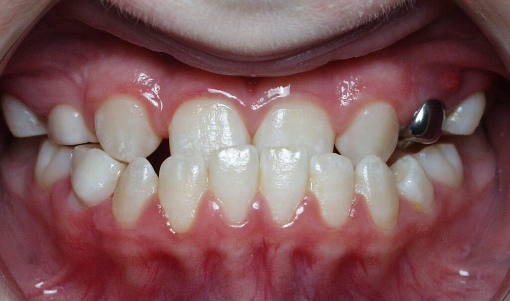
Deep Bite (Overbite)

Clinical Presentation: Excessive overlap of the front teeth, jaw pain, and increased wear on the lower front teeth.
Zebris Findings: Increased vertical dimension in the anterior region, excessive loading on the TMJ, and restricted jaw movements.
Crossbite

Clinical Presentation: One or more teeth bite on the inside of the opposing teeth.
Zebris Findings: Lateral discrepancies in jaw movement, uneven load distribution, and compensatory asymmetrical movements.
Benefits, Limitations & Comparisons
Benefits of Zebris Analysis
- Objective Assessment: Provides quantifiable data on jaw movements and condylar positions, reducing reliance on subjective clinical judgment.
- Comprehensive Analysis: Captures the dynamic nature of TMJ function that static imaging cannot reveal.
- Visualization Capabilities: Generates 3D representations of jaw movements that enhance patient education and treatment planning.
- Non-invasive: No radiation exposure or invasive procedures required.
- Treatment Verification: Allows objective comparison of pre- and post-treatment function to evaluate outcomes.
- Integration with Digital Workflow: Compatible with digital articulators and CAD/CAM systems for restorative dentistry.
Limitations
- Initial Investment: Relatively high cost of equipment acquisition and training.
- Learning Curve: Requires specialized training to properly set up the system and interpret data.
- Time Factor: Complete analysis can be time-consuming compared to basic clinical examinations.
- Limited Anatomical Information: Does not provide direct imaging of internal joint structures like discs and ligaments.
- Patient Cooperation: Requires patient cooperation and understanding to perform movements correctly.
Comparison with Traditional Methods
Zebris vs. Clinical Examination:
- Clinical examination relies heavily on clinician experience and subjective assessment
- Zebris provides objective, measurable data on movements and positions
- Clinical examination is faster but less precise
- Zebris can detect subtle abnormalities that may be missed in clinical examination
Zebris vs. Static Imaging (X-rays, CBCT):

- Static imaging shows anatomical structures but not functional movement
- Zebris captures dynamic function but not detailed anatomy
- Combined approach often provides the most comprehensive diagnosis
Zebris vs. MRI:

- MRI shows soft tissues (including disc position) that Zebris cannot
- Zebris shows dynamic movement that MRI cannot capture
- MRI is more expensive and less accessible
- Ideal approach may include both for complex cases
Future Directions & Innovations
The field of digital TMJ diagnostics continues to evolve, with several promising developments on the horizon:
- Integration with AI: Machine learning algorithms are being developed to analyze Zebris data and identify patterns associated with specific TMJ disorders, potentially improving diagnostic accuracy.
- Combined Technologies: Future systems may integrate movement analysis with real-time imaging to simultaneously visualize both structure and function.
- Personalized Treatment Planning: Advanced software developments aim to use Zebris data to simulate treatment outcomes and optimize therapeutic approaches.
- Teledentistry Applications: Remote monitoring capabilities may allow clinicians to track patient progress between visits using simplified home-based movement sensors.
- Expanded Applications: Beyond TMJ disorders, Zebris technology is being adapted for other dental applications, including speech analysis for prosthodontic evaluations and orthognathic surgery planning.
Feedback & Testimonials
Dr. Sarah Johnson, TMJ Specialist: “The Zebris system has transformed my practice by providing objective data that supports my clinical findings. Patients appreciate seeing visual representations of their joint function, which improves treatment acceptance and compliance.”
Dr. Michael Chen, Prosthodontist: “For complex full-mouth rehabilitation cases, the Zebris analysis has become an indispensable part of my workflow. The ability to objectively verify occlusal relationships and condylar positions has significantly reduced post-treatment adjustments.”
Dr. Elizabeth Rodriguez, Orthodontist: “Incorporating Zebris analysis into my orthodontic practice has given me insights into the functional aspects of malocclusion that weren’t possible before. It’s particularly valuable for patients with TMJ symptoms where traditional orthodontic analysis falls short.”
References & Additional Resources
- Hugger, A., et al. (2023). “Reliability and reproducibility of condylar movement measurements using ultrasound-based jaw tracking systems.” Journal of Craniomandibular Practice, 41(2), 112-119.
- Schindler, H.J., et al. (2022). “Correlation between digital movement analysis and magnetic resonance imaging in temporomandibular disorders.” Journal of Oral Rehabilitation, 49(5), 487-496.
- Kordaß, B., & Gärtner, C. (2021). “Outcome assessment of occlusal rehabilitation based on digital movement analysis: A prospective clinical study.” International Journal of Computerized Dentistry, 24(3), 245-253.
- Chen, Y., & Wang, X. (2023). “Diagnostic accuracy of digital movement analysis for temporomandibular disorders: A systematic review and meta-analysis.” Journal of Dentistry, 116, 103932.
- American Academy of Orofacial Pain. “Guidelines for Assessment, Diagnosis, and Management of Orofacial Pain.” https://aaop.org/guidelines
- International Society for Temporomandibular Joint Surgery. “Clinical Practice Guidelines for TMJ Diagnostics.” https://astmjs.org/resources
- Zebris Medical GmbH – Product Documentation and Research Library. https://www.zebris.de/en/dental/literature-studies/





