Keywords: tooth wear, dental erosion, attrition, abrasion, abfraction, bruxism treatment, dental restorative options, preventive dentistry, composite bonding, dental crowns, night guards
Abstract
This comprehensive article explores the multifaceted nature of tooth wear pathology, addressing the four primary etiological factors: abrasion, attrition, erosion, and abfraction. Dental practitioners face increasing challenges in diagnosing and managing tooth wear, particularly as patient lifespans increase and dietary habits evolve. This review synthesizes current clinical approaches to identifying wear patterns, implementing preventive strategies, and utilizing restorative treatments ranging from minimally invasive composite bonding to full-coverage restorations. Case-based discussions illustrate the decision-making process for treatment planning based on wear severity, etiology, and patient-specific factors. Special emphasis is placed on the importance of early intervention and the integration of protective measures like custom night guards for long-term dental health maintenance.
Introduction & Background
Tooth wear represents a growing concern in modern dental practice, with epidemiological studies showing increasing prevalence across demographic groups. Unlike dental caries or periodontal disease, tooth wear presents a complex, multifactorial challenge that requires careful diagnosis and comprehensive management approaches.
The progressive loss of dental hard tissues can significantly impact both function and esthetics, potentially leading to sensitivity, compromised masticatory ability, and cosmetic concerns. Modern dentistry has evolved to better understand the various mechanisms of wear and develop targeted interventions that address both the underlying causes and restorative needs.
This article explores the four major classifications of tooth wear, evidence-based management protocols, and contemporary treatment modalities available to dental professionals. By understanding the distinct characteristics of each wear pattern, clinicians can implement more effective preventive strategies and appropriate restorative solutions.
Clinical Overview: Understanding the Mechanisms of Tooth Wear
A. Types and Causes of Tooth Wear
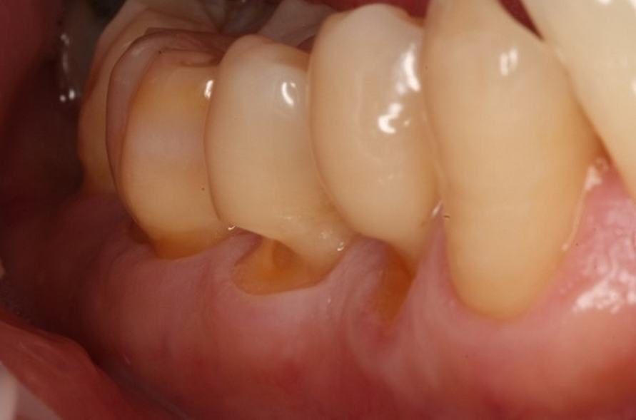
1. Abrasion

Abrasion occurs when teeth are worn down by external mechanical forces, resulting in characteristic patterns of hard tissue loss. This form of wear is typically associated with:
- Aggressive toothbrushing techniques, particularly with hard-bristled brushes
- Use of highly abrasive toothpastes or powders
- Habitual behaviors such as nail-biting, pen-chewing, or holding objects between teeth
- Occupational factors where individuals frequently hold items in their mouth
Abrasion typically presents as wedge-shaped lesions with sharp, well-defined margins, often more pronounced on the facial surfaces of teeth.
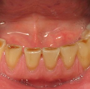
2. Attrition

Attrition represents the physiological wearing of teeth through tooth-to-tooth contact. This natural process accelerates significantly in patients with:
- Bruxism (tooth grinding)
- Clenching habits
- Malocclusion creating abnormal wear patterns
- Age-related changes in dentition
The clinical presentation typically includes flattened occlusal surfaces, matching wear facets on opposing teeth, and potentially reduced vertical dimension in advanced cases.
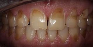
3. Erosion


Dental erosion involves the chemical dissolution of tooth structure through acid exposure, absent of bacterial involvement. Sources of acids include:
- Dietary factors (citrus fruits, carbonated beverages, sports drinks)
- Gastroesophageal reflux disease (GERD)
- Eating disorders with frequent vomiting (e.g., bulimia nervosa)
- Environmental exposure (e.g., swimming in chlorinated pools, occupational acid exposure)
Erosion characteristically presents as smooth, shiny surfaces with cupped-out lesions on occlusal surfaces and thinning of enamel on facial and lingual surfaces.
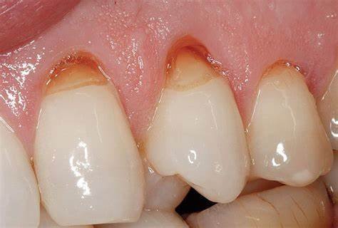
4. Abfraction

Abfraction represents a more recently recognized form of tooth wear, characterized by wedge-shaped lesions at the cervical margin (gumline). The etiology involves:
- Biomechanical stress concentration from occlusal loading
- Flexure of teeth during lateral forces
- Combination with other forms of wear, particularly erosion and abrasion
These lesions typically appear as sharp, V-shaped notches at the cementoenamel junction, often on the facial aspects of teeth under occlusal stress.
B. Diagnostic Considerations
Accurate diagnosis requires comprehensive assessment including:
- Detailed patient history focusing on dietary habits, oral hygiene practices, and medical conditions
- Clinical examination with photography and possibly study models
- Evaluation of occlusion and parafunction
- Assessment of salivary flow and buffering capacity
- Differential diagnosis to distinguish between wear mechanisms
Early recognition of tooth wear patterns is essential, as intervention at initial stages can prevent more extensive damage requiring complex restorative treatment.
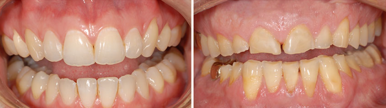
Case Studies & Clinical Applications
Case Study 1: Combined Erosion and Attrition
Patient Profile: 45-year-old male with complaints of increasing sensitivity and esthetic concerns related to shortened anterior teeth.
Clinical Findings:
- Generalized thinning of enamel on palatal surfaces of maxillary anterior teeth
- Cupped-out lesions on first molars
- Flattened incisal edges with matching wear facets
- History of GERD and occasional clenching reported during stress periods
Diagnostic Assessment: Combined erosion from GERD and attrition from stress-related clenching.
Treatment Approach:
- Medical referral for GERD management
- Dietary counseling to reduce acidic beverage consumption
- Custom occlusal night guard fabrication
- Direct composite restorations for posterior cupped-out lesions
- Feldspathic veneers for anterior teeth to restore esthetics and protect remaining tooth structure
Outcome: Six-month follow-up revealed stabilization of wear pattern, resolution of sensitivity, and high patient satisfaction with esthetic results.
Case Study 2: Severe Abrasion with Secondary Abfraction
Patient Profile: 62-year-old female presenting with cervical sensitivity and noticeable gingival recession.
Clinical Findings:
- Pronounced V-shaped notches at the cervical third of multiple teeth
- History of aggressive brushing with medium-bristled brush
- Visible evidence of occlusal wear facets suggesting parafunctional activity
- Radiographic evaluation showing no periapical pathology
Diagnostic Assessment: Primary abrasion from improper brushing technique compounded by abfraction lesions from occlusal stress.
Treatment Approach:
- Oral hygiene instruction emphasizing gentle brushing with soft-bristled brush
- Application of desensitizing agents followed by fluoride varnish
- Selective adjustment of occlusion to distribute forces more evenly
- Restoration of deeper lesions with glass ionomer cement
- Fabrication of night guard for nocturnal wear
Outcome: Three-month evaluation showed significant reduction in sensitivity and no progression of cervical lesions.
Product & Company Review for Tooth Wear Management
Diagnostic Technologies
| Product | Company | Features | Benefits |
TRIOS 4 Intraoral Scanner ![]() | 3Shape | High-resolution imaging, wear analysis software | Tracks progressive changes in tooth morphology over time |
T-Scan ![]() | Tekscan | Digital occlusal analysis | Identifies occlusal interferences contributing to wear |
DIAGNOdent ![]() | KaVo | Laser fluorescence detection | Helps quantify enamel loss in early stages |
Preventive Products
| Product | Company | Features | Price Range |
MI Paste Plus ![]() | GC America | CPP-ACP with fluoride | $20-30 per tube |
ProNamel ![]() | GlaxoSmithKline | Anti-erosion toothpaste | $5-7 per tube |
BruxZir Night Guard ![]() | Glidewell Laboratories | Zirconia night guard | $200-300 per appliance |
Oral-B iO Series ![]() | Procter & Gamble | Pressure-sensitive brushing | $200-300 per device |
Restorative Materials for Worn Dentition
| Product | Company | Indications | Advantages |
Filtek Supreme Ultra ![]() | 3M ESPE | Direct composite restorations | Excellent wear resistance, esthetics |
IPS e.max ![]() | Ivoclar Vivadent | Ceramic crowns and veneers | High strength, natural appearance |
VITA ENAMIC ![]() | VITA Zahnfabrik | Hybrid ceramic restorations | Combines flexibility and durability |
Tetric EvoCeram Bulk Fill ![]() | Ivoclar Vivadent | Posterior restorations | Rapid placement, good wear properties |
Research Evidence & Citations
Recent research has significantly advanced our understanding of tooth wear mechanisms and management approaches. Key findings include:
- A systematic review by Loomans et al. (2023) demonstrated that early intervention with direct composite restorations for localized wear showed 85% survival rates at 5-year follow-up, suggesting conservative approaches may be preferable to full-coverage restorations in many cases<sup>1</sup>.
- Johansson et al. (2022) investigated the effectiveness of customized night guards, finding significant reduction in progression of attrition when used consistently, with hard acrylic guards showing greater longevity than softer materials<sup>2</sup>.
- A longitudinal study by Carvalho et al. (2024) established a clear correlation between acidic beverage consumption frequency and erosive wear patterns, with particular emphasis on sports drinks and flavored sparkling waters previously considered benign<sup>3</sup>.
- Recent innovation in digital dentistry has enabled more precise monitoring of wear progression. Mehl and Zimmermann (2023) validated the use of successive intraoral scans to quantify volumetric loss of tooth structure over time, potentially allowing earlier intervention<sup>4</sup>.
Benefits, Limitations & Comparisons of Treatment Approaches
Conservative Management vs. Restorative Intervention
| Approach | Benefits | Limitations | Best For |
Preventive Only ![]() | Non-invasive, preserves structure, cost-effective | May not address esthetic concerns, requires strict compliance | Early-stage wear, high patient motivation |
Direct Restorations ![]() | Minimally invasive, repairable, moderate cost | Limited longevity in severe wear cases | Moderate wear, localized defects |
| Indirect Restorations | Precise contour control, excellent longevity | More invasive, higher cost, difficult to repair | Severe wear, multiple teeth involvement |
| Full-Mouth Rehabilitation | Comprehensive solution, addresses occlusion | Most invasive, highest cost, complex maintenance | Advanced generalized wear, VDO changes |
Material Selection Considerations for Tooth Wear Restoration
| Material | Wear Resistance | Antagonist Wear | Esthetics | Repairability |
Composite Resin ![]() | Moderate | Low | Good | Excellent |
Glass Ceramic ![]() | Good | Moderate | Excellent | Limited |
Zirconia ![]() | Excellent | High | Good | Poor |
Gold Alloy ![]() | Excellent | Very Low | Poor | Good |
Future Directions & Innovations
The landscape of tooth wear management continues to evolve with several promising developments:
- Biomimetic Materials: Research into novel restorative materials that more closely mimic natural tooth properties may provide better long-term outcomes for wear cases. Materials incorporating remineralizing components are particularly promising.
- AI-Driven Diagnosis: Machine learning algorithms are being developed to analyze intraoral scans and identify early wear patterns before they become clinically significant, potentially allowing for earlier intervention.
- Enhanced Monitoring Technology: Digital wear analysis through sequential scans may become standard practice, allowing practitioners to quantify progression rates and evaluate intervention effectiveness objectively.
- Personalized Risk Assessment: Genetic and biomarker research may soon enable clinicians to identify patients at higher risk for specific wear patterns, allowing for targeted preventive strategies.
- Regenerative Approaches: Early research into enamel regeneration techniques, though still preliminary, suggests potential future alternatives to traditional restorative approaches.
References & Additional Resources
- Loomans B, Opdam N, Attin T, et al. “Severe Tooth Wear: European Consensus Statement on Management Guidelines.” Journal of Adhesive Dentistry. 2023;25(1):7-20. https://www.quintessence-publishing.com/deu/en/article/845118/journal-of-adhesive-dentistry/2023/01/severe-tooth-wear-european-consensus-statement-on-management-guidelines
- Johansson A, Omar R, Carlsson GE. “Bruxism and prosthetic treatment: A critical review.” Journal of Prosthodontic Research. 2022;66(1):3-9. https://www.sciencedirect.com/science/article/pii/S1883195821000992
- Carvalho TS, Lussi A, Jaeggi T, et al. “Erosive tooth wear in children and adolescents: a global perspective.” Monographs in Oral Science. 2024;30:1-11. https://www.karger.com/Article/Abstract/513395
- Mehl A, Zimmermann M. “Current status of digital technologies in restorative dentistry: clinical applications and future trends.” International Journal of Computerized Dentistry. 2023;26(1):23-37. https://ijcd.quintessenz.de/index.php?doc=abstract&abstractID=50037
- Bartlett D, O’Toole S. “Tooth wear: best evidence consensus statement on diagnosis and management.” British Dental Journal. 2022;233(4):271-278. https://www.nature.com/articles/s41415-022-4762-1
- Schlueter N, Amaechi BT, Bartlett D, et al. “Terminology of Erosive Tooth Wear: Consensus Report of a Workshop Organized by the ORCA and the Cariology Research Group of the IADR.” Caries Research. 2022;54(1):2-6. https://www.karger.com/Article/FullText/503308
Additional Resources:
- American Dental Association: Tooth Wear Guidelines
- European Federation of Conservative Dentistry: Clinical Guidelines for Tooth Wear Management
- International Association for Dental Research: Research Portal on Dental Wear
- Academy of General Dentistry: Continuing Education on Tooth Wear
- Journal of Prosthodontic Research: Special Issue on Tooth Wear
- Dental Update: Clinical Guide to Managing Tooth Wear


















