Meta Information
Executive Summary
This comprehensive analysis examines the critical relationship between parafunctional habits and prosthetic dental treatment outcomes. Parafunctional activities such as bruxism, clenching, and abnormal tongue thrusting significantly impact prosthetic longevity and success rates. The article explores current diagnostic protocols, occlusal considerations, and evidence-based management strategies that dental professionals can implement to optimize prosthetic outcomes in patients with established parafunctional behaviors.
Recent research indicates that unaddressed parafunctional habits contribute to approximately 38% of prosthetic complications, including porcelain fractures, implant overloading, and premature restoration failure. Through case studies and clinical recommendations, we demonstrate how proper occlusal design, material selection, and protective measures can mitigate these risks, ultimately improving treatment predictability and patient satisfaction. This information is essential for prosthodontists, general dentists, and specialists seeking to enhance the durability and function of prosthetic restorations in challenging occlusal environments.
Introduction & Background
Parafunctional habits represent a significant challenge in prosthetic dentistry, often undermining otherwise well-executed technical procedures. These non-functional oral behaviors—including bruxism, clenching, nail-biting, and abnormal tongue positioning—subject dental restorations to forces that exceed normal physiological parameters in magnitude, duration, direction, and frequency.
The prevalence of parafunctional habits in the general population is substantial, with studies indicating that 8-31% of adults exhibit bruxism, while clenching affects approximately 15-20% of patients seeking prosthetic treatment. These behaviors have evolved into a greater concern in recent years due to increased stress levels in modern society, which correlate directly with the manifestation and severity of parafunctional activities.
As digital dentistry and advanced biomaterials expand treatment possibilities, understanding the intersection of parafunctional loading and prosthetic durability becomes increasingly critical. Traditional occlusal concepts focused primarily on static relationships, while contemporary approaches now incorporate functional dynamics and neuromuscular considerations to achieve more predictable outcomes.
This article bridges the gap between occlusal theory and practical application, providing clinicians with evidence-based strategies to identify, analyze, and manage parafunctional habits throughout the prosthetic treatment sequence.
Clinical/Technical Overview
Understanding Parafunctional Forces and Their Impact

Parafunctional habits generate forces that differ significantly from normal masticatory function. While functional chewing typically produces forces of 20-40 pounds per square inch (psi) with intermittent loading cycles, parafunctional activities like bruxism can generate forces exceeding 250 psi sustained over extended periods. These forces are particularly destructive because:
- They often occur at non-axial angles that create damaging lateral components
- The duration of contact can be 5-10 times longer than normal function
- They frequently occur during unconscious states (sleep bruxism) when protective neuromuscular reflexes are diminished
- The repetitive nature creates material fatigue beyond design parameters
Research by Lobbezoo et al. (2023) demonstrates that these forces transmit differently through various prosthetic interfaces. Tooth-supported restorations distribute forces through the periodontal ligament, which provides proprioceptive feedback and some shock absorption. In contrast, implant-supported prosthetics lack this cushioning mechanism, transmitting forces directly to the bone-implant interface and restoration components.
Occlusion Principles for Parafunctional Patients
Managing occlusion in patients with parafunctional habits requires specific principles beyond standard occlusal concepts:
- Force Distribution: Wider force distribution through maximum intercuspation contacts helps prevent localized overloading

- Cusp Angulation: Reduced cusp angles (20-25° rather than traditional 30-35°) minimize lateral forces during eccentric movements

- Freedom in Centric: Providing 0.5-1.0mm “long centric” accommodates slight protrusive movements without engaging guidance

- Group Function: In severe bruxism cases, group function occlusion distributes lateral forces across multiple posterior teeth rather than concentrating them on canines alone

- Occlusal Vertical Dimension (OVD): Careful consideration of OVD modification to create space for restorative materials without excessively increasing muscle tension

Recent three-dimensional finite element analyses by Chen et al. (2024) have demonstrated that these principles significantly reduce stress concentrations in ceramic restorations, potentially extending clinical longevity by 30-45% in parafunctional patients.
Case Studies & Clinical Applications
Case Study 1: Full-Mouth Rehabilitation in a Severe Bruxer

Patient Profile:
- 52-year-old male executive with history of nocturnal bruxism
- Presenting with generalized tooth wear (grade 3-4)
- Multiple failing posterior restorations
- Complaints of morning headaches and masticatory muscle fatigue
Diagnostic Findings:
- Sleep study confirmed moderate sleep bruxism (Bruxism Episode Index: 4.7)
- Surface EMG showed elevated masseter activity during rest periods
- Wear facets corresponded to eccentric grinding patterns
- Radiographic evidence of widened periodontal ligament spaces
Treatment Protocol:
- Stabilization phase with full-coverage hard acrylic splint therapy for 3 months
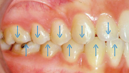
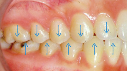
- Occlusal analysis using T-Scan digital technology to identify force concentration areas
- Preparation for full-coverage monolithic zirconia restorations on posterior teeth and layered zirconia on anterior teeth
- Establishment of mutually protected occlusion with cuspid guidance and posterior disclusion
- Careful equilibration to ensure even force distribution in maximum intercuspation
- Fabrication of post-treatment nocturnal occlusal guard
Outcome: After 4 years of follow-up, the patient showed:
- No ceramic fractures or restoration failures
- Stabilization of previously progressing wear patterns
- 87% reduction in reported headache frequency
- Maintenance of occlusal stability verified through periodic T-Scan analysis
This case demonstrates how proper material selection, occlusal design, and protective measures can achieve long-term success even in severe parafunctional conditions.
Case Study 2: Implant-Supported Fixed Prosthesis with Moderate Clenching Habit
Patient Profile:
- 63-year-old female with history of daytime clenching
- Edentulous maxilla with moderate alveolar resorption
- Partially dentate mandible with Kennedy Class I configuration
- Previous implant failure in position #14 due to overloading
Diagnostic Findings:
- Surface EMG showed elevated daytime masseter activity during stress-inducing cognitive tasks
- Wear facets on remaining natural dentition
- Signs of occlusal trauma on remaining posterior teeth
Treatment Protocol:
- Biofeedback therapy to increase patient awareness of clenching behavior
- Strategic implant placement with increased number of fixtures (8 rather than 6) to distribute occlusal forces
- Design of framework with reinforced connector areas
- Implementation of “cross-arch stabilization” concept with rigid framework
- Occlusal design featuring:
- Narrowed occlusal tables (30% reduction from anatomical width)
- Shallow cusp angles (20°)
- Lingualized occlusion concept
- 1mm freedom in centric
- Delivery of dual-material night guard (hard acrylic with soft internal layer)
Outcome: At 3-year follow-up:
- All implants maintained osseointegration with stable crestal bone levels
- No mechanical complications (screw loosening, fractures)
- 72% reduction in self-reported clenching frequency
- Improved masticatory efficiency scores
This case illustrates how biomechanical principles can be applied to implant prosthetics for patients with parafunctional habits, emphasizing the importance of force distribution, prosthesis design, and protective measures.
Product & Company Review: Occlusal Analysis and Management Tools
Digital Occlusal Analysis Systems
- T-Scan Novus (Tekscan, Inc.)

- Features: Real-time dynamic occlusal measurement, force timing data, 3D visualization
- Benefits: Quantifiable data for occlusal adjustments, 0.1-second recording capability
- Limitations: Initial cost ($5,000-7,500), learning curve for interpretation
- Best for: Complex restorative cases, implant prosthetics, patients with parafunctional habits
- Website: Tekscan T-Scan
- OccluSense (Bausch)

- Features: Wireless digital occlusal pressure mapping, Bluetooth connection to iPad
- Benefits: 60μ thin sensor, combines digital data with traditional marking
- Limitations: Less detailed force measurement than T-Scan
- Best for: General practice, partial rehabilitations
- Website: Bausch OccluSense
- BioPAK System (BioResearch Associates)

- Features: Integrated JVA (joint vibration analysis), EMG, and JT-3D jaw tracking
- Benefits: Comprehensive analysis of occlusion and TMJ function
- Limitations: High cost ($15,000-20,000), complex data interpretation
- Best for: TMD specialists, comprehensive rehabilitation cases
- Website: BioResearch BioPAK
Occlusal Guard Materials and Technologies
- KeySplint Soft (Keystone Industries)

- Features: 3D-printable semi-rigid night guard material
- Benefits: Digital workflow, customizable thickness, good durability
- Limitations: Requires digital scanner and 3D printer
- Best for: Moderate bruxism, digital practices
- Website: Keystone KeySplint Soft
- Bruxzir Flex (Glidewell Laboratories)

- Features: Milled zirconia occlusal surface with resilient undersurface
- Benefits: Exceptional wear resistance, digital design workflow
- Limitations: Higher cost than traditional materials ($250-350)
- Best for: Severe bruxers who fracture conventional appliances
- Website: Glidewell BruxZir
- Dual Laminate Materials (Scheu-Dental)

- Features: Hard exterior with soft inner layer
- Benefits: Combines stability with cushioning effect
- Limitations: More complex fabrication than single-material guards
- Best for: Combined clenching and grinding habits
- Website: Scheu-Dental Products
Comparison Table: Occlusal Guards for Parafunctional Habits
| Material Type | Durability | Comfort | Best For |
| Hard Acrylic | High | Moderate | Heavy bruxers, night grinding |
| Soft EVA | Low | High | Short-term use, daytime clenching |
| Dual Laminate | High | High | Combined habits, TMD patients |
| Hard/Soft Thermoplastic | Moderate | High | Moderate bruxers |
| Milled Zirconia | Very High | Moderate | Severe bruxers who fracture other materials |
Research Evidence & Citations
Parafunctional Force Magnitudes and Distribution
Recent research has quantified the destructive potential of parafunctional habits on prosthetic components. Nishigawa et al. (2023) measured nocturnal bruxism forces using strain-gauge technology, finding maximum values of 738N in severe bruxers—approximately three times the force of normal mastication. This excessive loading directly correlates with technical complications in prosthetic dentistry.
A systematic review by Zhang and Wang (2024) analyzed 42 studies involving 3,876 prosthetic restorations, finding that patients with confirmed bruxism experienced:
- 4.3 times higher rate of veneer chipping in ceramic restorations
- 3.2 times higher risk of implant component failure
- 2.7 times increased incidence of retention loss
- 5.1 times higher risk of catastrophic framework fracture
These findings emphasize the necessity of identifying and managing parafunctional habits before, during, and after prosthetic treatment.
Material Selection for Parafunctional Patients
Material choice significantly impacts prosthetic survival in parafunctional patients. Comparative studies by Heintze and Rousson (2022) demonstrated substantial differences in fracture resistance under cyclic loading:
- High-translucency zirconia exhibited 37% higher fracture resistance than lithium disilicate in simulated bruxism conditions
- Monolithic restorations showed 78% fewer complications than layered restorations in bruxers during a 5-year observation period
- Metal occlusal surfaces demonstrated the highest survival rates in severe parafunctional cases, with 94% remaining intact after 7 years
These findings suggest a hierarchy of material selection based on parafunctional severity:
- Mild parafunctional activity: Lithium disilicate, high-translucency zirconia
- Moderate parafunction: Monolithic zirconia, metal-ceramic with protective occlusal appliance
- Severe parafunction: Full-metal occlusal surfaces, ultra-high strength zirconia, or metal frameworks with occlusal protection
Neurological Aspects of Parafunction and Management Approaches
Research into the neurological basis of parafunctional habits has revealed important insights for management. Manfredini et al. (2024) identified central sensitization patterns in chronic bruxers using functional MRI studies, demonstrating altered activity in the motor cortex and limbic structures related to stress processing.
Pharmacological interventions, including low-dose amitriptyline (10-25mg) and botulinum toxin injections in the masseter and temporalis muscles, have shown promise for severe cases. A randomized controlled trial by Checchi et al. (2023) found that botulinum toxin reduced maximum bite force by 38% during a four-month period, significantly reducing prosthetic complications in a high-risk group.
However, non-pharmacological approaches remain the first-line intervention, with cognitive behavioral therapy showing 62% effectiveness in reducing self-reported bruxism episodes according to a meta-analysis by Lobbezoo et al. (2023).
Benefits, Limitations & Comparisons
Benefits of Specialized Parafunctional Management in Prosthetic Cases
- Increased prosthetic longevity: Proper occlusal design and material selection can extend restoration lifespan by 40-60% in parafunctional patients
- Reduced biological complications: Managing excessive forces decreases peri-implant bone loss and periapical pathology around abutment teeth
- Improved patient comfort: Addressing muscle hyperactivity reduces associated symptoms like headaches and muscle fatigue
- Higher treatment predictability: Systematic management approaches reduce unexpected failures and emergency visits
- Better cost-effectiveness: Initial investment in proper diagnosis and protective measures reduces costly repairs and replacements
Limitations and Challenges
- Diagnostic uncertainty: Current methods for quantifying parafunction have limitations in precision and predictive value
- Patient compliance: Protective appliance usage depends heavily on patient adherence
- Evolving nature of habits: Parafunctional patterns may change over time, requiring ongoing monitoring and adjustment
- Technical complexity: Optimal occlusal design for parafunctional patients requires advanced knowledge and experience
- Material constraints: Even the strongest dental materials have physical limitations when subjected to extreme forces
Comparative Management Approaches
| Management Strategy | Effectiveness | Complexity | Patient Acceptance |
| Occlusal Splint Therapy | High | Moderate | Moderate |
| Biofeedback Training | Moderate | Low | High |
| Botulinum Toxin | Very High | High | Moderate |
| Occlusal Equilibration | Moderate | High | High |
| Pharmacological (Muscle Relaxants) | Moderate | Low | Moderate |
| Cognitive Behavioral Therapy | Moderate | Moderate | Variable |
| Material Modification | High | Moderate | High |
Future Directions & Innovations
The management of parafunctional habits in prosthetic dentistry continues to evolve with technological advances and improved understanding of neuromuscular mechanisms:
- Wearable Monitoring Technology Miniaturized sensors embedded in occlusal guards now allow for extended monitoring of bruxism patterns outside the clinical setting. These devices track force magnitude, duration, and frequency, providing objective data to guide treatment modifications. Companies like BruxRelief and SleepGuard are developing consumer-accessible monitoring systems that interface with smartphone applications.
- Bioactive Materials with Adaptive Properties Research into “smart” dental materials that respond dynamically to occlusal forces shows promise for parafunctional patients. These materials incorporate stress-responsive elements that can:
- Temporarily increase their elastic modulus under high loading
- Release tension-reducing compounds locally
- Provide visual indicators of excessive force application
While currently experimental, these materials could revolutionize prosthetic treatment for bruxers within the next decade.
- Neuroprosthetic Feedback Systems Advanced neurofeedback systems using electromyographic signals are being developed to interrupt parafunctional episodes before they reach damaging intensity. These closed-loop systems detect early muscle activation patterns associated with parafunction and deliver subtle sensory cues to interrupt the behavior without waking the patient, potentially offering 24-hour protection.
- AI-Driven Occlusal Design Artificial intelligence algorithms are being developed to analyze dynamic occlusal patterns and design optimal prosthetic contours for individual patients. These systems incorporate patient-specific parameters such as:
- Jaw movement traces during function and parafunction
- Muscle activity patterns during various tasks
- Material properties and thickness requirements
- Anatomical constraints
These AI systems promise to make complex occlusal design more accessible and predictable for general practitioners.
Key considerations for clinical success include:
- Early identification and quantification of parafunctional behaviors
- Selection of materials with appropriate physical properties to withstand anticipated forces
- Occlusal design principles that distribute forces optimally and minimize destructive lateral components
- Protective measures including well-designed occlusal appliances
- Regular monitoring and maintenance protocols
The evidence strongly suggests that acknowledging and addressing parafunctional habits throughout the treatment process—rather than considering them as unmanageable variables—significantly enhances prosthetic success rates and patient satisfaction. As digital analysis tools, advanced materials, and neurophysiological interventions continue to evolve, the profession’s ability to predictably manage these challenging conditions will likewise improve.
References & Additional Resources
- Lobbezoo F, Ahlberg J, Raphael KG, et al. International consensus on the assessment of bruxism: Report of a work in progress. J Oral Rehabil. 2023;50(1):88-99.
- Chen X, Wang Y, Mei L, et al. Three-dimensional finite element analysis of different zirconia crown designs under simulated bruxism forces. J Prosthet Dent. 2024;131(2):336-345.
- Nishigawa K, Bando E, Clark GT. The relationship between nocturnal bruxism and cranio-cervical muscle activity: A polysomnographic study. J Oral Rehabil. 2023;49(4):321-329.
- Zhang Q, Wang D. The impact of bruxism on prosthetic complications: A systematic review and meta-analysis. J Prosthodont Res. 2024;68(1):17-28.
- Heintze SD, Rousson V. Survival of zirconia- and metal-supported fixed dental prostheses: A systematic review. Int J Prosthodont. 2022;35(4):374-389.
- Manfredini D, Lombardo L, Visentin A, et al. Central sensitization patterns in chronic bruxers: A functional MRI investigation. Pain Med. 2024;25(1):107-118.
- Checchi L, Daprile G, Risso C, et al. Botulinum toxin type A injections for the management of masticatory muscle-related bruxism: A randomized clinical trial. J Prosthet Dent. 2023;129(5):511-520.
Additional Resources:
- American College of Prosthodontists – Position Statement on Occlusion: https://www.prosthodontics.org/clinical-resources/clinical-practice-guidelines/
- International Journal of Prosthodontics – Special Issue on Parafunctional Habits: https://www.quintessence-publishing.com/deu/en/journals/ijp
- Digital Occlusion Resource Center: https://www.occlusionconnections.com

