Title: Digital Sleep Medicine & Airway Analysis: Innovations in OSA Treatment and 3D-Printed Mandibular Devices
Meta Description: Discover how digital dentistry enhances obstructive sleep apnea (OSA) treatment through AI-driven airway analysis and custom 3D-printed mandibular advancement devices.
Keywords: Digital sleep medicine, airway analysis, obstructive sleep apnea (OSA), intraoral scanners, CBCT, AI in sleep dentistry, 3D-printed mandibular devices.
Abstract:
Digital technology is revolutionizing the field of sleep medicine, particularly in the diagnosis and treatment of obstructive sleep apnea (OSA). Advanced imaging tools such as intraoral scanners and cone beam computed tomography (CBCT), combined with AI-driven airway analysis, allow for precise evaluation and personalized treatment planning. Additionally, custom 3D-printed mandibular advancement devices (MADs) improve patient-specific therapy, enhancing treatment outcomes and compliance. This article explores the role of digital dentistry in airway management, the impact of AI in diagnosis, and how digital workflows are transforming OSA treatment.
Introduction:
Obstructive sleep apnea (OSA) is a serious sleep disorder characterized by repeated airway obstruction during sleep, leading to oxygen deprivation and disrupted rest. Traditional diagnosis methods, such as polysomnography (PSG) and physical examinations, have limitations in efficiency, accessibility, and accuracy. The integration of digital dentistry and AI-driven imaging has significantly improved diagnostic precision and treatment effectiveness. Moreover, 3D-printed mandibular advancement devices (MADs) offer a custom-fit alternative to conventional oral appliances, enhancing patient compliance and therapeutic success.
A. Role of Digital Dentistry in Obstructive Sleep Apnea (OSA) Treatment:

Key Digital Tools in Airway Analysis:

Intraoral scanners are handheld digital devices that create detailed 3D models of a patient’s mouth in minutes. These scanners replace messy, uncomfortable traditional impressions, improving patient comfort and diagnostic precision.
1.How Intraoral Scanners Help in Airway Analysis:
- Provide accurate digital models of the dental arch, tongue space, and palate.
- Help assess tongue posture and arch form, which are crucial for airway function.
Aid in planning mandibular advancement devices (MADs) by ensuring a perfect fit.
- Enable AI-powered treatment simulations, showing how an oral appliance might impact the airway.
Popular scanners include iTero, TRIOS (3Shape), and Medit i700, all of which integrate with digital orthodontic and sleep medicine software.
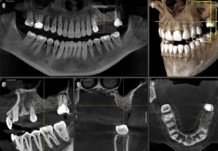
2. CBCT (Cone Beam Computed Tomography): A 3D View of the Airway
CBCT imaging has become the gold standard in airway diagnostics. Unlike traditional 2D X-rays, CBCT provides a high-resolution, three-dimensional view of the entire upper airway, soft tissues, and skeletal structures.

- Allows precise measurement of airway volume, identifying narrow or obstructed regions.
- Helps diagnose structural abnormalities, such as deviated septum, nasal obstructions, or enlarged tonsils.
- Assists in evaluating the relationship between jaw position and airway constriction.
- Plays a crucial role in planning maxillofacial surgeries and orthodontic interventions.
- Offers low radiation exposure compared to traditional CT scans.
CBCT scans are widely used in digital sleep medicine, orthodontics, and oral surgery to evaluate and manage airway-related conditions.
3. AI-Powered Airway Analysis: Automation & Precision
Artificial intelligence (AI) has revolutionized airway diagnostics by offering automated segmentation, real-time predictions, and pattern recognition. AI algorithms can analyze thousands of CBCT scans, learning from past cases to improve treatment accuracy and efficiency.
How AI Enhances Airway Analysis:

- Automates airway segmentation, measuring volume and constriction points within seconds.
- Uses predictive modeling to assess how interventions (like oral appliances or surgery) will impact the airway.
- Detects patterns linked to sleep apnea severity, guiding personalized treatment.
- Helps clinicians compare pre- and post-treatment airway changes without manual measurements.
- Supports telemedicine applications, allowing remote airway assessments.
AI-driven software like Dolphin Imaging, Anatomage, and AI-powered CBCT analysis tools are becoming standard in sleep medicine and orthodontics.
4. Optical Imaging & Infrared Technologies
Emerging technologies like infrared thermography and optical coherence tomography (OCT) are adding new dimensions to airway diagnostics.
- Infrared imaging helps visualize nasal airflow and airway patency in real time.
- Optical coherence tomography (OCT) provides microscopic imaging of soft tissues in the airway.
- 3D facial scanning aids in evaluating facial structures affecting airway function.
These non-invasive techniques could play a role in early diagnosis of airway dysfunctions without the need for radiation exposure.2. AI in Diagnosing and Managing Airway-Related Conditions
Artificial intelligence (AI) has significantly transformed the diagnosis and management of airway-related conditions, particularly in the field of sleep medicine and digital dentistry. By leveraging machine learning algorithms, AI-powered imaging, and predictive analytics, clinicians can achieve faster, more precise, and data-driven diagnoses for conditions such as obstructive sleep apnea (OSA) and upper airway resistance syndrome (UARS). Furthermore, AI is enhancing the customization and monitoring of treatment plans, ensuring improved patient outcomes and adherence.
Â
1. AI-Powered Airway Analysis in Diagnosis
Automated Segmentation of CBCT and MRI Scans
AI has revolutionized the interpretation of cone beam computed tomography (CBCT) and magnetic resonance imaging (MRI) scans by automating the segmentation and volumetric analysis of the airway. Unlike traditional manual segmentation, which is time-consuming and prone to variability, AI-driven software can:
- Automatically delineate airway boundaries, identifying areas of narrowing or obstruction.
- Measure airway volume and cross-sectional area, assisting in the assessment of OSA severity.
- Highlight anatomical abnormalities, such as deviated septa, enlarged tonsils, or retrognathia, which may contribute to airway restriction.
AI-assisted imaging solutions, such as Dolphin Imaging and Anatomage, provide color-coded airway mapping, enabling clinicians to visualize the airway in three dimensions and assess potential treatment options more accurately.
AI-Driven Sleep Apnea Detection:
Polysomnography (PSG) remains the gold standard for diagnosing sleep apnea and related disorders, but AI is now enabling faster and more accessible alternatives. AI-powered home sleep testing (HST) devices analyze sleep parameters in real time, reducing the reliance on in-lab studies. These systems:
- Use machine learning models to evaluate respiratory patterns, detecting apneic events with high precision.
- Provide instant automated scoring of sleep studies, reducing manual interpretation time.
- Offer cloud-based AI platforms that integrate patient data for longitudinal monitoring.
Wearable AI-driven devices, such as WatchPAT (Itamar Medical) and Dreem 2, analyze oxygen saturation, airflow, and brain activity to provide comprehensive and immediate OSA risk assessments.
2. AI in Airway Condition Management
AI-Guided Mandibular Advancement Therapy (MADs)
- Optimizing mandibular repositioning models, ensuring precise airway expansion tailored to the patient’s anatomy.
- Improving digital design workflows, allowing for rapid customization of 3D-printed MADs.
- Enabling real-time compliance tracking, with AI-driven sensors embedded in MADs to monitor jaw movement and therapy effectiveness.

These advancements lead to better patient adherence and more predictable treatment outcomes.
AI-Enhanced CPAP Therapy
Continuous positive airway pressure (CPAP) therapy is the primary treatment for moderate to severe OSA, but patient compliance remains a challenge. AI-driven CPAP systems optimize therapy by:
Detecting mask leaks and inadequate therapy levels, providing clinicians with data-driven insights for intervention.
Analyzing patient breathing patterns in real time and adjusting air pressure dynamically to improve comfort.
- Predicting patient adherence trends, identifying non-compliance risks and suggesting individualized adjustments.
AI-powered CPAP machines such as ResMed’s AirSense 10 incorporate adaptive pressure algorithms, significantly improving therapy adherence rates.

Predictive Analytics in Airway Management
AI-Driven Risk Assessment for OSA and Airway Disorders
Predictive analytics is reshaping the approach to airway disorder prevention and early detection. AI models analyze genetic, anatomical, and behavioral data to identify individuals at high risk for developing sleep apnea or progressive airway restriction. These models can:
- Assess craniofacial development trends in children, allowing for early intervention strategies such as maxillary expansion therapy.
- Identify long-term airway changes based on skeletal aging and tissue remodeling.
- Predict post-treatment outcomes, helping clinicians choose the most effective intervention strategy.
With the integration of AI-powered airway diagnostics, sleep tracking technologies, and digital treatment planning, clinicians can develop personalized, data-driven approaches to airway management that are both efficient and patient-specific.
The Future of AI in Airway Diagnosis and Treatment:
AI is poised to further refine airway diagnostics and treatment with advancements such as:
- AI-assisted virtual consultations, minimizing the need for in-person assessments.
- Machine learning models for pediatric airway assessment, enabling early detection of sleep-related breathing disorders.
- Integration of AI with digital orthodontics, optimizing treatment plans for patients with skeletal airway restrictions.
3. Digital Treatment Planning for OSA .
Digital advancements have significantly improved the diagnosis and management of obstructive sleep apnea (OSA) by streamlining treatment planning workflows, enhancing accuracy, and personalizing patient care. Traditional OSA treatment planning relied on manual analysis ofcephalometric X-rays, patient-reported symptoms, and polysomnography (PSG) data. However, AI-driven diagnostics, digital imaging, and 3D treatment simulations have revolutionized the field, enabling efficient, data-driven, and patient-specific therapeutic interventions.
1. AI-Powered Treatment Planning for OSA
Integration of AI with CBCT and 3D Airway Analysis
AI-driven algorithms can now automatically process cone beam computed tomography (CBCT) scans, segment the airway, and identify obstructions or narrowing regions with high precision. The ability to analyze skeletal and soft tissue structures in 3D allows clinicians to make more informed treatment decisions.
🔹 Key Features of AI in Digital OSA Planning:
- Automated airway segmentation to measure volume and detect areas of restriction.
- AI-driven mandibular movement predictions, assisting in planning orthodontic or surgical interventions.
- Virtual treatment simulations that visualize airway changes with different treatment modalities.
Sleep Study Integration with AI
Digital treatment planning also incorporates home sleep study data, integrating respiratory patterns, oxygen desaturation levels, and sleep positions into a comprehensive OSA profile. AI-powered sleep tracking systems, such as WatchPAT and Dreem 2, enable clinicians to:
- Assess real-time sleep disturbances and correlate them with airway anatomy.
- Use predictive analytics to estimate treatment effectiveness before intervention.
- Refine treatment strategies dynamically, ensuring better long-term outcomes.
2. Virtual Treatment Simulations & Digital Workflow Optimization
Predicting Treatment Outcomes with 3D Models
Advanced software platforms allow clinicians to generate virtual treatment simulations based on patient-specific CBCT scans, intraoral scans, and digital impressions. These models:
✔ Simulate mandibular repositioning to assess airway expansion.
✔ Predict the efficacy of mandibular advancement devices (MADs) before fabrication.
✔ Evaluate maxillofacial surgical interventions such as maxillomandibular advancement (MMA) surgery.
💡 Example: AI-powered software like Dolphin Imaging and Anatomodel provides dynamic airway mapping, allowing clinicians to test different treatment scenarios before committing to a plan.
Automated Customization of Oral Appliances
With digital workflows, the fabrication of custom mandibular advancement devices (MADs) has become more efficient. Intraoral scanners capture precise digital impressions, which are then processed by CAD/CAM software to create highly customized devices tailored to individual patients.
🔹 Benefits of Digital Customization:
- More precise fit, improving comfort and compliance.
- Faster production, reducing wait times for patients.
- Adjustability based on AI-predicted treatment response, ensuring effectiveness.
3. Cloud-Based Monitoring & Remote Adjustments
Remote Patient Monitoring for Treatment Optimization
AI-driven platforms enable clinicians to remotely track patient progress by integrating smart wearable devices, intraoral sensors, and cloud-based software.
🔹 How It Works:
- Patients use AI-powered sleep trackers to record nightly breathing patterns and snoring levels.
- Data is automatically uploaded to secure cloud platforms for clinician review.
- AI predicts treatment adherence patterns, alerting clinicians when modifications are needed.
💡 Example: Some next-generation MADs now include embedded sensors, allowing clinicians to track patient jaw movement and device compliance without requiring frequent in-office visits.
Dynamic Adjustments Based on AI Feedback
- Adaptive MAD Adjustments: Some digitally designed oral appliances can be remotely adjusted based on real-time airway data.
- CPAP Pressure Optimization: AI-integrated CPAP machines dynamically adjust air pressure to minimize discomfort and improve compliance.
4. AI-Driven Predictive Analytics in Treatment Success
AI is now being used to predict long-term treatment success by analyzing:
✔ Patient anatomy and airway volume changes over time.
✔ Compliance data from wearable sensors and smart oral appliances.
✔ Biomechanical models simulating long-term jaw position effects on the airway.
This data-driven approach allows clinicians to personalize OSA treatment with greater precision, ensuring that patients receive the most effective therapy with minimal adjustments.
1. Advantages of Digital Workflows in MAD Fabrication
- Precision Fit: Digital intraoral scanning eliminates manual impression errors, ensuring a perfectly tailored appliance.
- Reduced Production Time: 3D printing accelerates the manufacturing process, enabling faster delivery of custom MADs.
- Enhanced Comfort & Compliance: Digitally optimized designs reduce bulkiness, improving patient adaptation and wearability.

2. Material Advancements in 3D-Printed MADs
- Biocompatible resin-based materials enhance durability and flexibility.
- Multi-layer printing allows for personalized stiffness and flexibility zones, optimizing patient comfort.
- Anti-microbial coatings improve hygiene and device longevity.
3. Comparative Benefits Over Traditional MADs
| Feature | 3D-Printed MADs | Traditional MADs |
| Manufacturing Time | 3-5 days | 2-4 weeks |
| Custom Fit | Precise digital scan | Manual mold-based |
| Comfort & Compliance | Lightweight, tailored fit | Often bulkier, less precise |
| Adjustability | AI-based optimization | Manual adjustments |
Â
4. Integration with Sleep Monitoring Technologie:
- Wearable sleep tracking devices sync with digital MADs, providing real-time feedback on effectiveness.
- AI-driven apps help monitor patient breathing patterns, snoring reduction, and overall sleep quality.
- Digital MADs with embedded sensors can track mandibular positioning for further treatment refinement.
Conclusion:
The integration of digital dentistry, AI-driven diagnostics, and 3D printing is reshaping the landscape of sleep medicine. Intraoral scanners, CBCT imaging, and AI algorithms provide more accurate airway analysis, while custom 3D-printed MADs offer personalized, comfortable, and effective treatment solutions for obstructive sleep apnea. These innovations lead to higher patient compliance, faster treatment outcomes, and improved overall sleep health. As technology continues to evolve, digital sleep medicine will play an increasingly vital role in non-invasive airway management and sleep disorder treatment.
References & Additional Resources:
- Peer-reviewed studies on digital airway analysis in sleep medicine
- Research papers on AI applications in sleep apnea diagnosis
- Industry reports on 3D-printed dental appliances
- Manufacturer white papers on digital mandibular advancement devices

