
1. Title & Meta Information
Title: A Technique for Gingival Displacement Before Digital Scanning
Subtitle: Optimizing Soft Tissue Management for Accurate Digital Impressions
Meta Description: Explore techniques for gingival displacement before digital scanning, enhancing accuracy and efficiency in CAD/CAM workflows.
Keywords: gingival displacement, digital scanning, CAD/CAM, digital impressions, soft tissue management.
2. Abstract/Executive Summary
Gingival displacement is a critical step in obtaining accurate digital impressions for CAD/CAM restorations. Traditional methods, such as cord packing and retraction pastes, often have limitations in terms of patient comfort and efficiency. This article explores advanced techniques for gingival displacement before digital scanning, including laser techniques, astringent materials, and innovative retraction gels. Case studies, product comparisons, and research findings provide a comprehensive guide to optimizing soft tissue management for improved prosthetic outcomes.

3. Introduction & Background
Accurate digital impressions rely on effective gingival displacement to expose margin details clearly. Without proper displacement, scanning errors may occur, leading to inaccurate restorations and potential clinical failures. This section discusses the importance of gingival retraction, challenges with traditional techniques, and the evolution of digital-friendly retraction methods.
4. Main Body Sections
A. Clinical/Technical Overview
- Traditional Methods: Retraction cords, electrosurgery, and pastes.



- Modern Advancements: Laser-assisted retraction, hemostatic agents, and expanding foam materials.

- Comparison of Techniques: Efficacy, patient comfort, and workflow integration.
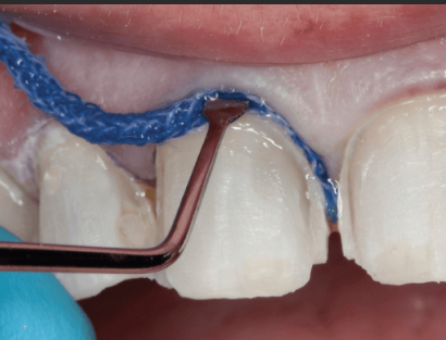
B. Case Studies & Clinical Applications
- Case Study 1: Retracting gingiva for a single crown preparation in a deep sulcus.
- Case Study 2: Full-arch scanning challenges and solutions.
- Clinical Outcomes: Success rates, scanning accuracy, and patient comfort.
C. Product & Company Review
| Product | Manufacturer | Type | Key Features |
Expasyl ![]() | Acteon | Paste | Non-traumatic, quick application |
Traxodent ![]() | Premier Dental | Gel | Hemostatic, easy removal |
Soft Tissue Laser ![]() | Biolase | Laser | Minimally invasive, precise |
D. Research Evidence & Citations
- Clinical Oral Implants Research, Study on Gingival Esthetics
- Recent Advances in Digital Impression Techniques
- Studies comparing retraction techniques and their impact on scanning accuracy.
E. Benefits, Limitations & Comparisons
| Feature | Retraction Cord ![]() | Retraction Paste ![]() | Laser Retraction ![]() |
| Accuracy | High | Moderate | High |
| Patient Comfort | Low | High | High |
| Bleeding Control | Moderate | High | High |
| Workflow Efficiency | Low | High | High |
F. Future Directions & Innovations
- AI-driven gingival displacement techniques.
- Smart biomaterials for non-invasive retraction.
- Integration of AI and machine learning in tissue management.
G. Feedback & Testimonials
- Insights from clinicians using digital-friendly retraction methods.
- Patient perspectives on comfort and procedural efficiency.
5. Conclusion
Gingival displacement before digital scanning is evolving with new materials and techniques that enhance accuracy and efficiency. Understanding the available options and selecting the appropriate method for each clinical scenario ensures optimal results in CAD/CAM workflows.
6. References & Additional Resources
- Journal of Prosthetic Dentistry, A technique for gingival displacement before digital scanning (bing.com/ck/a?!&&p=bb3e9da7e5d93d020fbb2ea2634ec75f110e7ad37fc0f90e224d41fed66542beJmltdHM9MTc0MDUyODAwMA&ptn=3&ver=2&hsh=4&fclid=1cb43637-65ab-650a-0d43-240064d76481&psq=a+technique+for+gingival+displacement+before+digital+scanning+ernesto+amosso+%2c+DDS&u=a1aHR0cHM6Ly93d3cudGhlanBkLm9yZy9hcnRpY2xlL1MwMDIyLTM5MTMoMjQpMDA2NTItOC9mdWxsdGV4dA&ntb=1)
- Expasyl – Acteon
- Traxodent – Premier Dental
- Biolase Soft Tissue Lasers
- Clinical Study on Gingival Retraction Techniques
- Advancements in Digital Dentistry
Additional Resources:
- AI-Based Digital TENS Therapy for Myofascial Pain Relief
- Integrating Digital Jaw Motion Tracking with Physiotherapy for TMJ Cases







